当院が最も専門とする分野は、骨折を治すことです。


年間120人程の骨折した患者さんを確実に治しています。
骨折は、日々状態が変化していきます。
だからこそ、少しの変化も見逃さず、その時点の状態に合わせた施術を行っていきます。
当院が主に行うことは3つです。
1超音波骨折治療器を使用し、骨の修復を早める。
2唯一無二の固定技術で患部を安定させる。
3経過を丁寧に観察し、小さな変化も見逃さない。
注意すべきことは3つです。
1 どんなリスクが考えられるか?
2 どうすれば予防できるか?
3 もし、起こってしまった時の対処法
この3つを常に考えながら、患者さんと向き合うことが重要なのです。
骨折を治すためには、治すための手順と方法があります。
その手順と方法に沿って進めることが、安全に、そして最短で回復へ導くことにつながります。
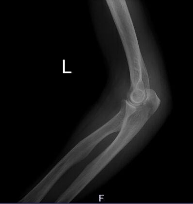
下記の患者さんは、肘頭骨折と言って肘関節での骨折です。
治癒過程で多くの事が起こりましたが、一つ一つを適切に対処することで
無事に障害なく治すことができました。






当院には、この様な重症な骨折した患者さんが、多く来院しています。
